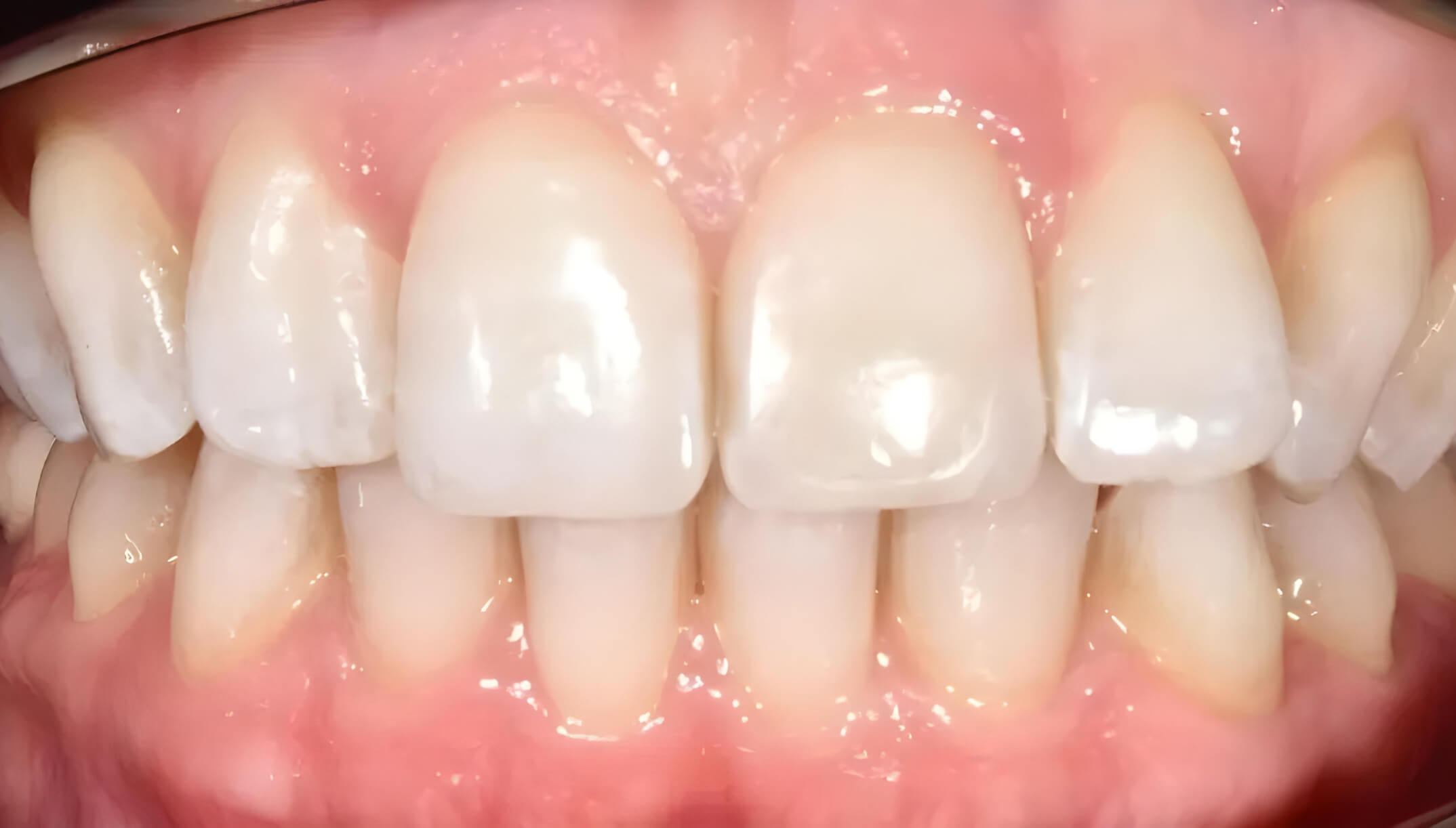
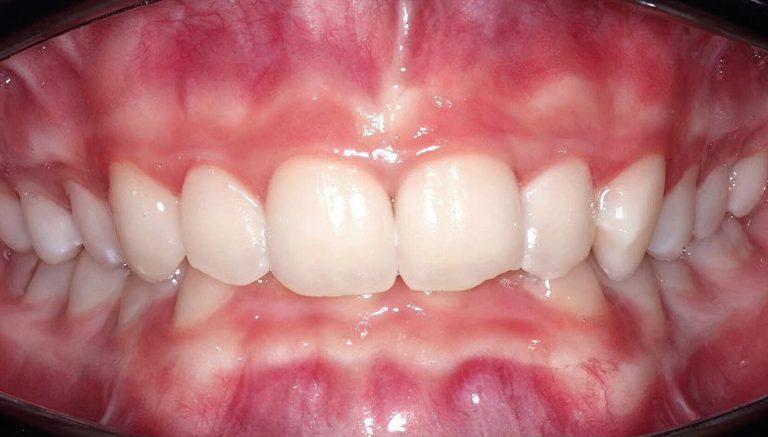
Smile Results
The transformation of your smile becomes apparent after the first stage of correction. Straightening teeth, closing gaps, and correcting malocclusions create a beautiful and natural smile.
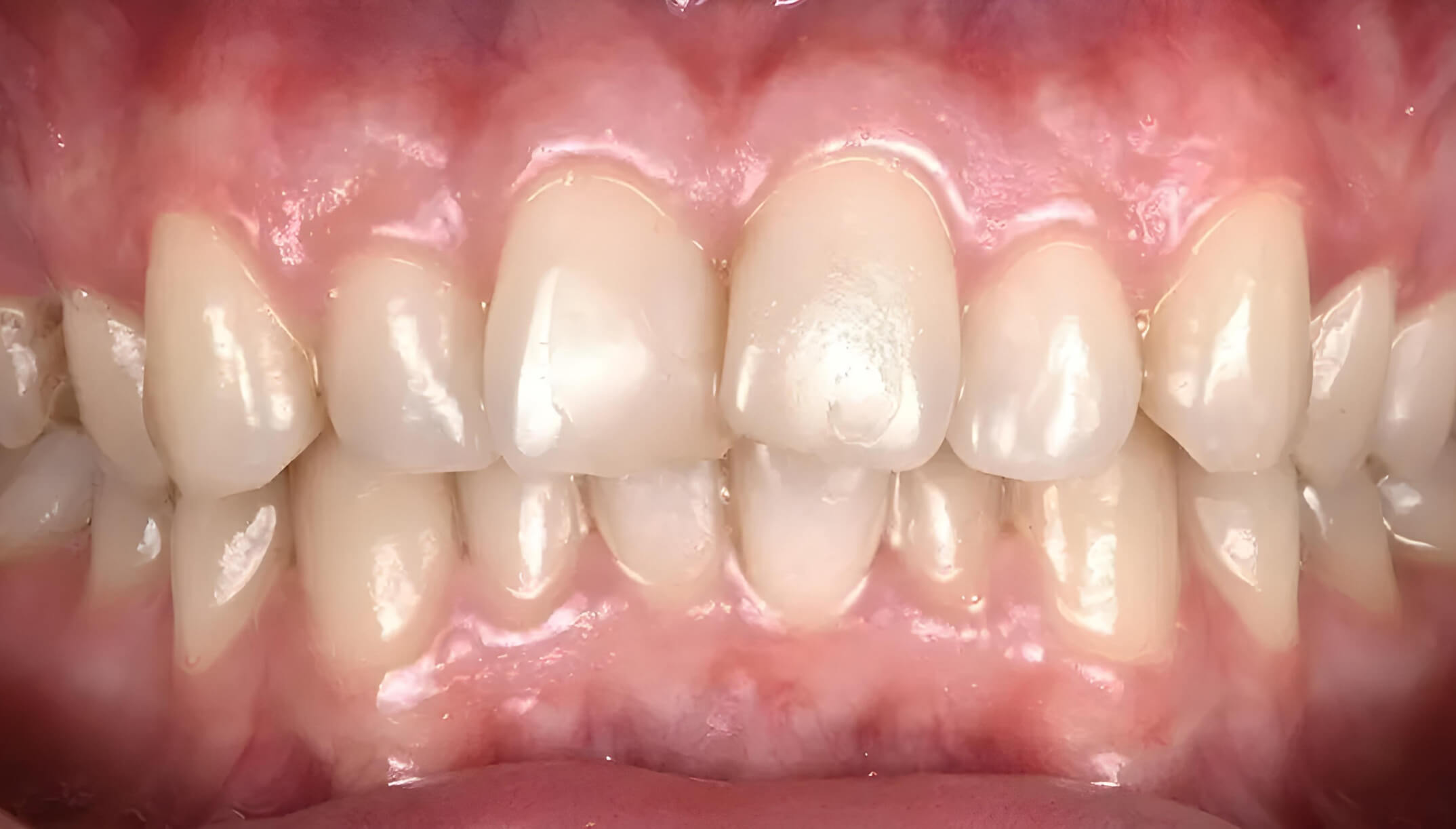
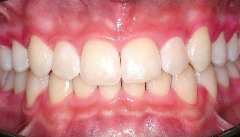
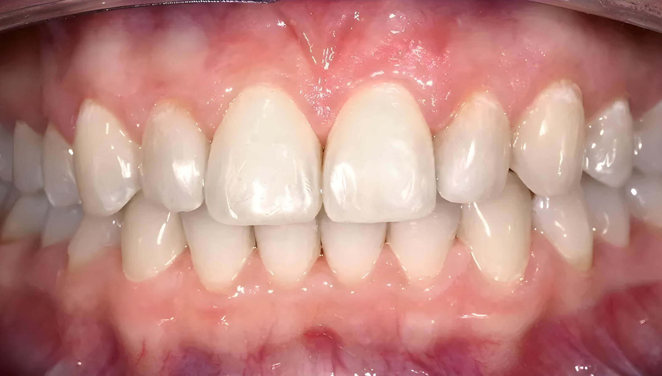
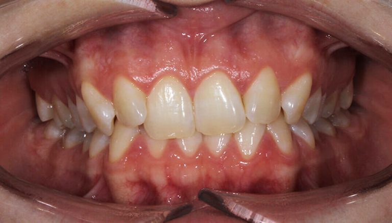
Crowding
Crowded position of teeth in the upper and lower dental arches.
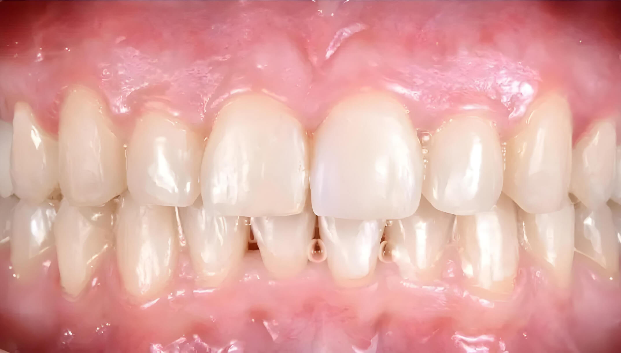
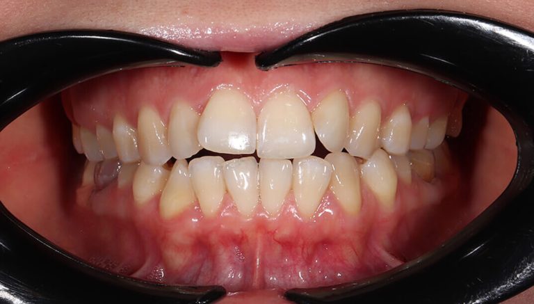
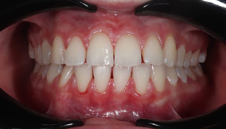
Open Bite
Crowded teeth in the upper and lower arches. Distal occlusion. Open bite.
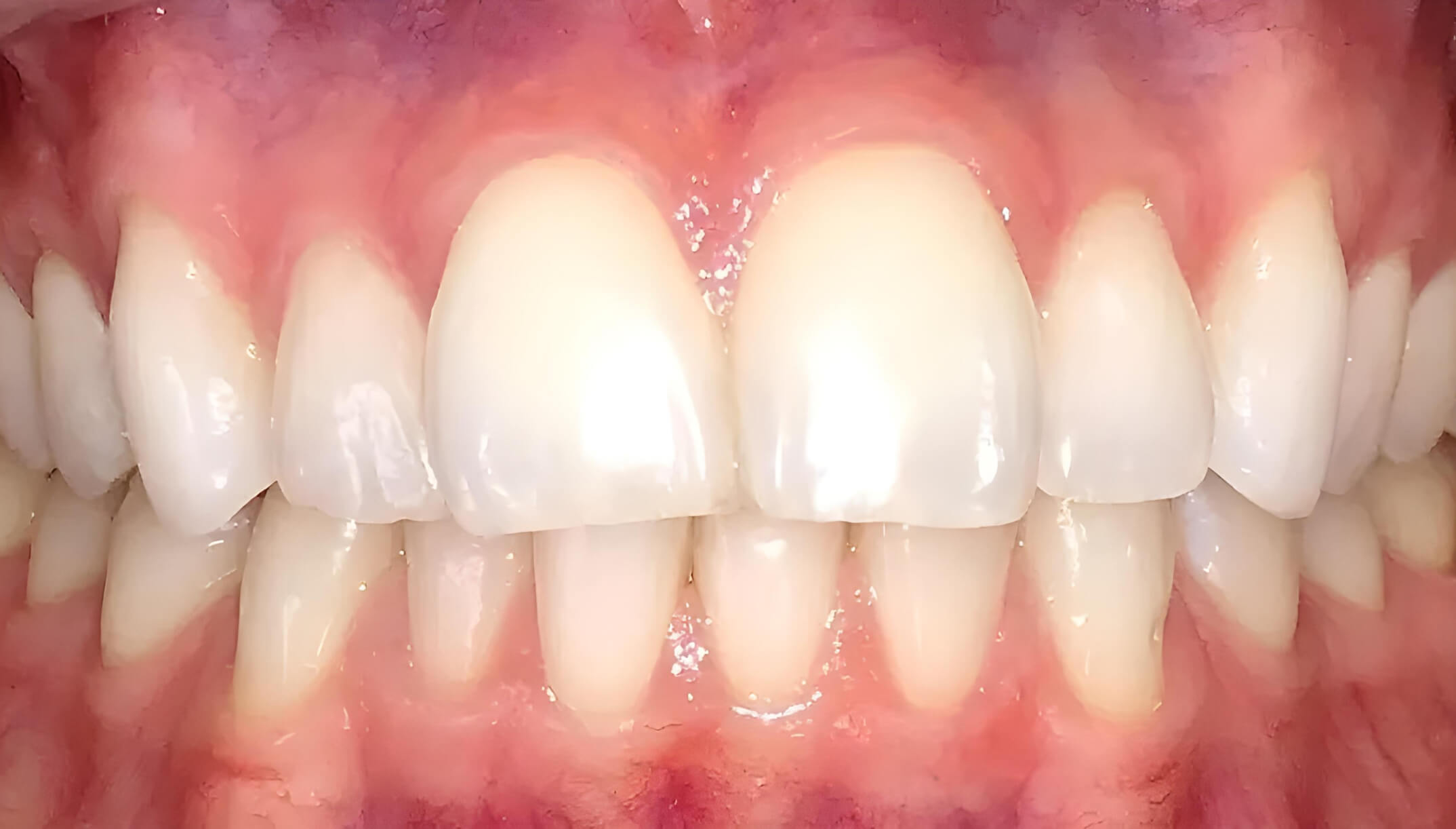
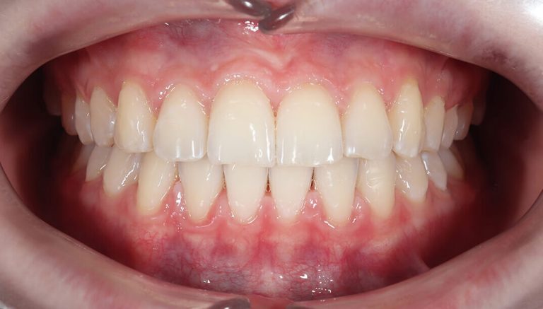
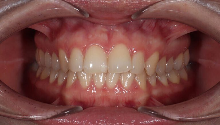
Deep Bite
Narrowing of the dental arches. Crowding of teeth in the upper and lower dental arches. Deep occlusion.
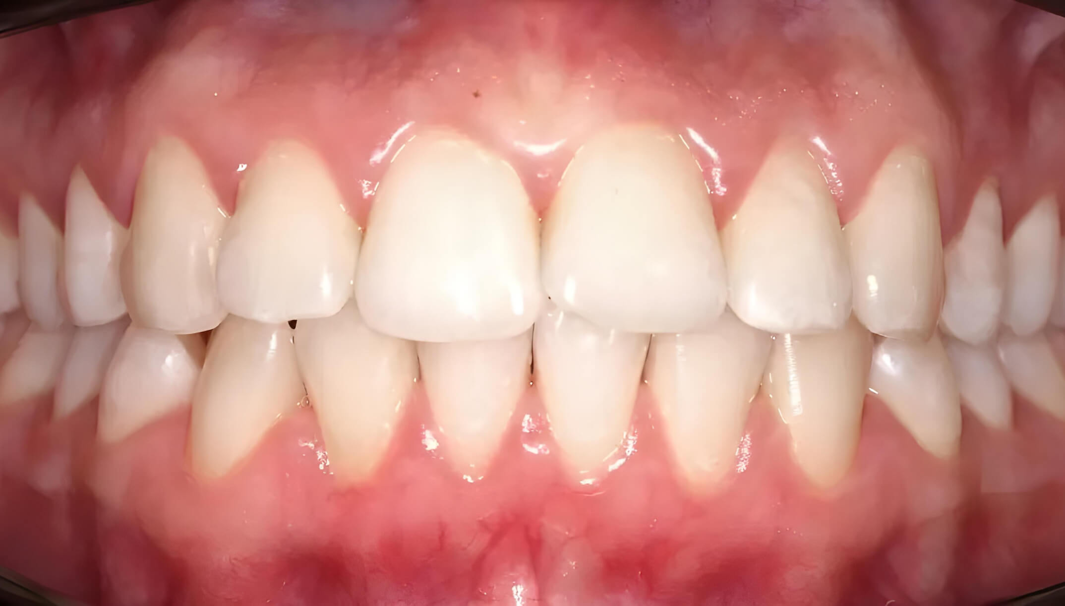
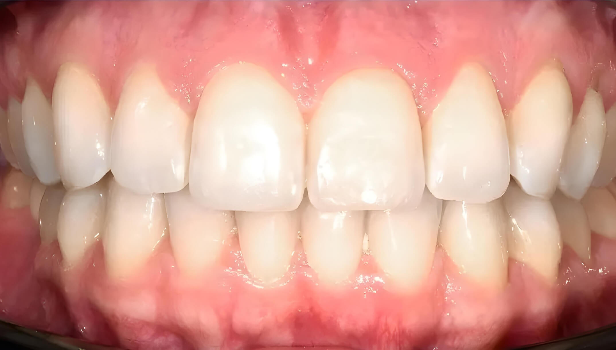
Spacing
Narrowing of the dental arches. Tremas and diastemas in the anterior region of the upper and lower dental arches.
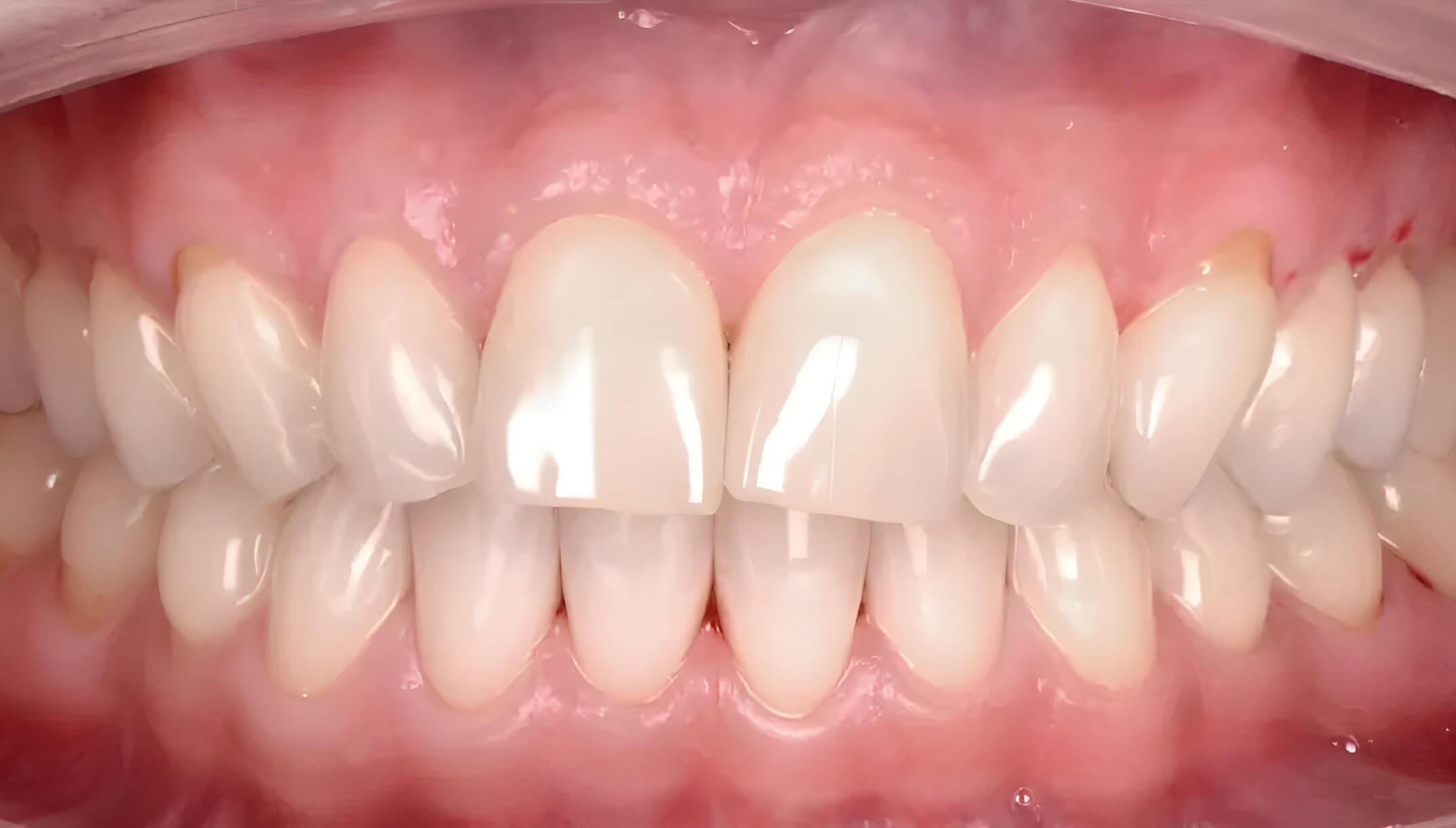
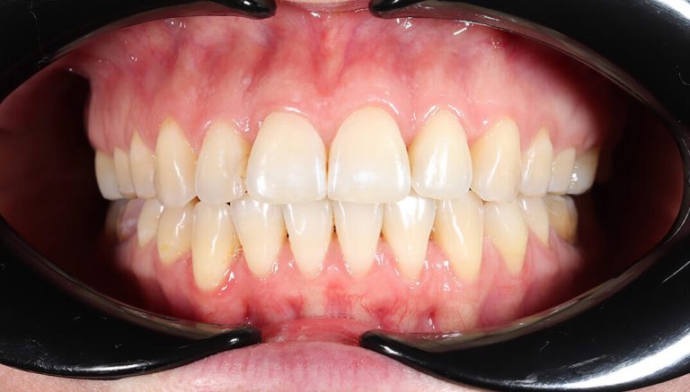
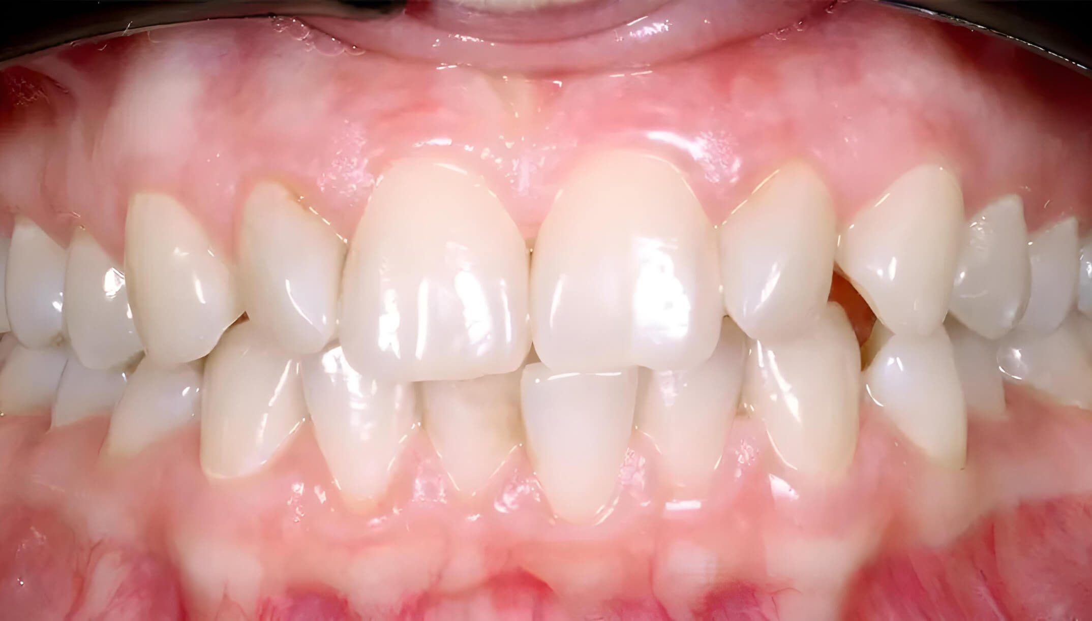
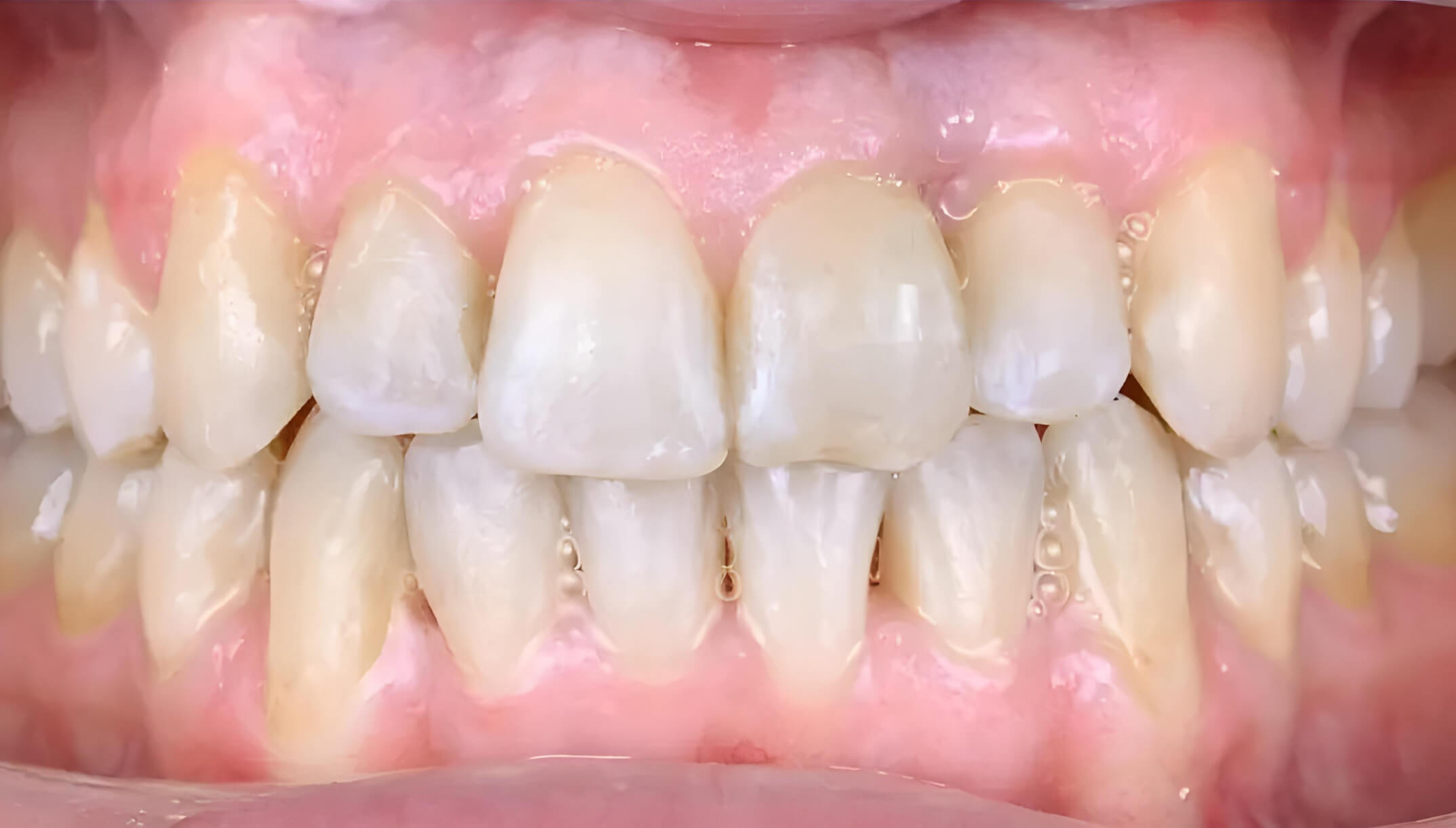
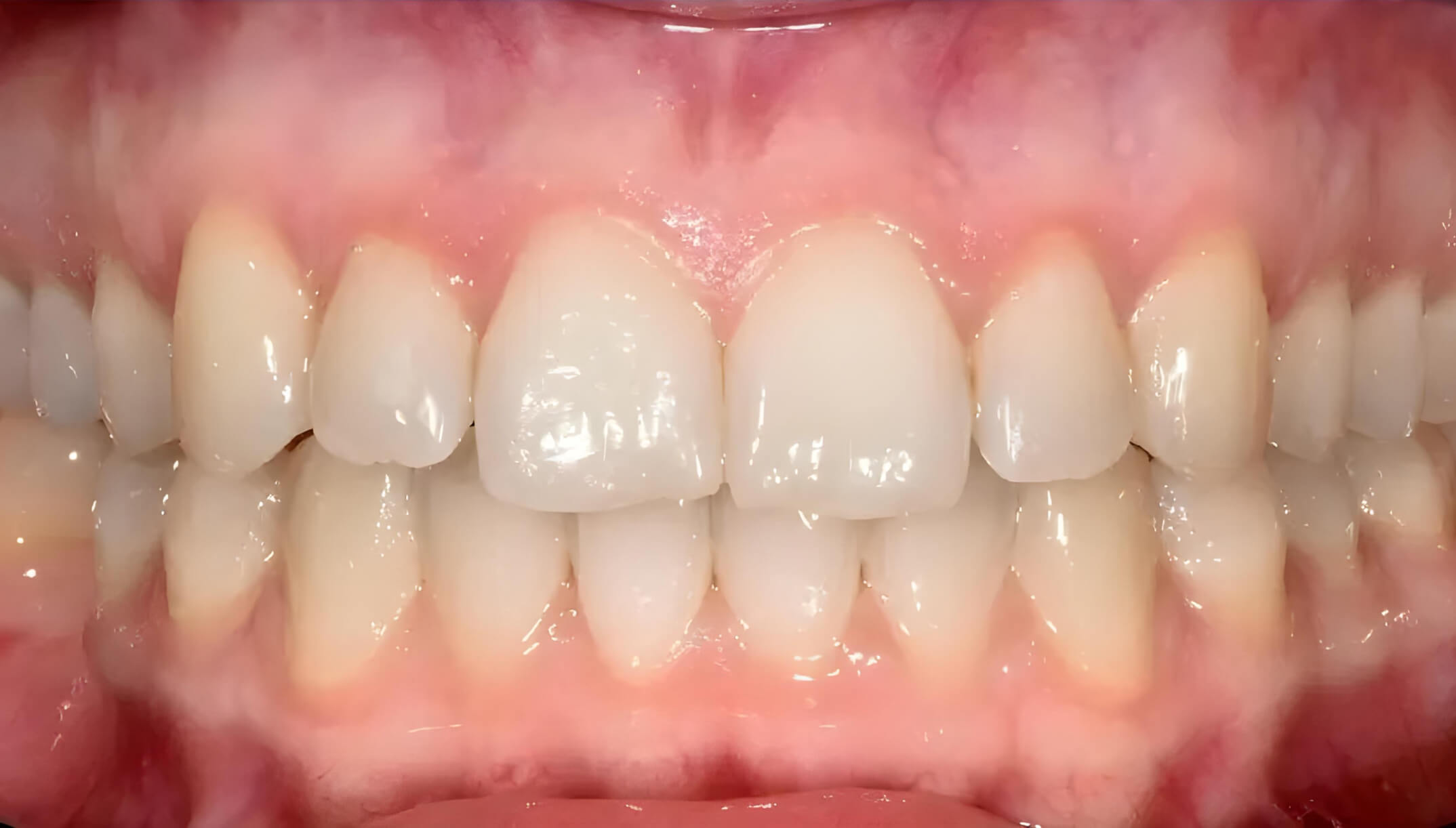
Deep Bite
The upper front teeth significantly overlap the lower teeth. This condition is considered an occlusion (or malocclusion) anomaly.
Start your journey to a perfect smile today
Schedule a consultation with an orthodontist and receive a personalized aligner treatment plan.
Smile Quiz













